Abstract: This article presents a case report describing a fully digital workflow for a dual-arch All-on-4® rehabilitation, highlighting the integration of intraoral and facial scanning, mandibular motion tracking, prosthetically driven implant planning, guided surgery, and computer-aided design/computer aided manufacturing (CAD/CAM)–fabricated fixed prostheses. The patient’s diagnostic pathway included intraoral optical impressions, 3-dimensional (3D) facial scanning, and dynamic jaw-motion recording to verify a new vertical dimension of occlusion. A digital smile design established a fixed prosthesis 2 (FP2)–type prosthetic concept. Guided surgery was performed with 3D-printed templates; immediate loading was achieved using prefabricated polymethyl methacrylate provisionals. After a 3-month healing period, definitive digital impressions and passive-fit verification jigs were obtained. CAD/CAM titanium frameworks and zirconia superstructures were fabricated, characterized, and delivered as screw-retained prostheses. The workflow enabled precise implant placement, accurate passive fit, stable occlusion validated by functional motion capture, and highly esthetic outcomes, all within a minimally invasive treatment concept. This case demonstrates the effectiveness of a fully digital All-on-4 approach to optimize accuracy, efficiency, and patient satisfaction in a complex full-arch rehabilitation.
Edentulism, whether partial or complete, remains a significant clinical and public health concern. Full-arch fixed implant rehabilitations have emerged as predictable solutions, with the All-on-4® concept demonstrating long-term survival rates of over 95% across multiple cohorts.1-3 This concept allows for graftless solutions even in atrophic jaws through posterior angulation of distal implants.
The increasing adoption of digital dentistry has transformed full-arch implant protocols. Intraoral scanning provides accurate digital impressions for both natural dentition and implants. Facial scanning links prosthetic planning with facial esthetics.4 Jaw-motion tracking devices incorporate mandibular dynamics and verify the functionality of a modified vertical dimension in the prosthetic design.5,6 Guided implant surgery transfers prosthetically driven plans with high accuracy, reducing surgical morbidity. Computer-aided design/computer aided manufacturing (CAD/CAM) frameworks and zirconia superstructures improve biomechanical stability and esthetic outcomes.7
The present case report illustrates an extended, fully digital dual-arch All-on-4 rehabilitation in a patient with terminal dentition, showcasing the diagnostic and prosthetic detail that is achievable with contemporary digital technologies.
Case Report
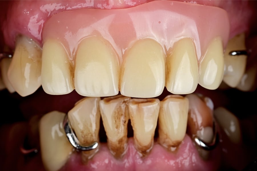
A 62-year-old male patient presented with severely compromised dentition in both jaws, marked by advanced periodontal breakdown, missing posterior teeth, and failing prosthetic restorations (Figure 1 through Figure 3). The patient expressed dissatisfaction with esthetics, difficulty in mastication, and poor confidence in social settings. After medical history review, no contraindications for implant therapy were identified. The patient requested fixed restorations with minimal invasiveness and rapid functional recovery.
Diagnostic Data and Virtual Patient Creation
Intraoral scans were obtained with a high-precision optical scanner (Medit i700, Medit, medit.com), capturing both arches and occlusal relationships. The scans provided detailed digital records of the residual dentition and soft tissues, eliminating inaccuracies that may be encountered with conventional impressions.
A 3D facial scan (MetiSmile, Shining 3D Dental, shining3ddental.com) was performed with the patient in a natural head position. This allowed for superimposition of the intraoral scans, ensuring that prosthetic planning respected facial symmetry, lip dynamics, and smile line. Digital smile design software was used to integrate these datasets, offering a preview of esthetic outcomes and facilitating effective patient communication.
Dynamic mandibular motion capture was achieved using an optical jaw-tracking system (Modjaw, modjaw.com) (Figure 4). This recording provided objective data on functional excursions, condylar pathways, and mandibular envelope of motion. The new vertical dimension of occlusion (VDO) was simulated and validated dynamically, preventing arbitrary alterations. An equalizer was used to deprogram the patient 30 minutes before recording the new VDO.
Finally, a cone-beam computed tomography (CBCT) scan was obtained, and the digital imaging and communications in medicine (DICOM) files were merged with the standard tessellation language (STL) datasets from the intraoral and facial scans. This multimodal integration generated a complete virtual patient, forming the basis for prosthetically driven implant planning.
Esthetic and Functional Planning
Using digital smile design (Smilecloud, smilecloud.com), an FP2-type prosthesis was chosen (Figure 5). This prosthetic configuration permitted restoration of teeth with limited gingival replacement, avoiding the overexposure of pink ceramics in the patient’s high smile line. The transition line, smile curve, and phonetics were carefully analyzed, ensuring that the digital wax-up (Zirkonzahn GmbH, zirkonzahn.com) harmonized with facial proportions (Figure 6).
Functional planning integrated jaw-motion recordings into the virtual articulator. This ensured that the occlusal scheme of the planned prosthesis aligned with the patient’s real mandibular dynamics, minimizing the risk of interferences and functional disharmony.
Implant Planning and Surgical Guide Fabrication
Four implants per arch were virtually positioned using implant planning software (R2Gate®, MegaGen, imegagen.com) (Figure 7). Posterior implants were slightly tilted to maximize anteroposterior spread and reduce cantilevers while avoiding anatomic limitations such as the maxillary sinus and mandibular nerve. Screw-access emergence was controlled to ensure prosthetic retrievability and optimal occlusal positioning.
Surgical guides were designed based on the prosthetic setup and fabricated by 3D printing. Guide stability was reinforced by anchor pins, ensuring accurate transfer of the plan to the surgical field. This approach provided high predictability for flapless implant placement.
Surgical procedures performed in the maxillary jaw with the different 3D-printed surgical guides are depicted in Figure 8 through Figure 15. These surgical procedures were also done in the mandibular jaw.
Provisionalization and Immediate Loading
CAD/CAM-milled polymethyl methacrylate (PMMA) provisionals were fabricated in advance, with screw-access and pick-up channels prepared (Figure 16 and Figure 17). These provisionals replicated the digital smile design and occlusal blueprint, enabling immediate esthetic and functional rehabilitation.
During surgery, flapless osteotomies were prepared under guided conditions. All implants achieved insertion torque values sufficient for immediate loading. Multi-unit abutments were connected, and the PMMA provisionals were relined intraorally, ensuring passive seating. Occlusion was carefully adjusted to light centric contacts and shallow lateral guidance, minimizing overload during early osseointegration (Figure 18 and Figure 19).
Provisional Phase and Verification
The patient functioned with provisionals for 12 weeks. Soft tissues matured around the prosthetic contours, and minor esthetic refinements were noted (Figure 20).
At the definitive phase, scan bodies were connected, and digital impressions were made. A passive-fit verification jig was fabricated by splinting implant analogs with resin, then sectioning and re-luting to relieve shrinkage stress (Figure 21). The jig confirmed accuracy intraorally and on the master model, ensuring a strain-free framework.
Definitive Prostheses
Definitive frameworks were CAD-designed and CNC-milled from titanium alloy (Figure 22). Clinical fit was confirmed with the Sheffield test (Figure 23). Monolithic zirconia superstructures were produced and vestibularly veneered with feldspathic ceramics to enhance translucency and texture (Figure 24 and Figure 25). Selective pink ceramic was applied in gingival areas requiring soft-tissue compensation (Figure 26 and Figure 27).
Occlusion was once again validated using jaw-motion tracking, confirming harmony with functional dynamics (Figure 28). The definitive prostheses were delivered as screw-retained restorations, achieving esthetic integration, functional stability, and patient satisfaction (Figure 29 and Figure 30).
Outcome
At delivery, the patient exhibited a harmonious smile, improved function, and increased confidence (Figure 31). Postoperative radiographs confirmed correct implant positioning (Figure 32). At the 6-month follow-up, peri-implant tissues remained stable, and no mechanical complications were reported.
Discussion
This case illustrates the clinical advantages of integrating multiple digital technologies into a dual-arch All-on-4 workflow. The use of intraoral and facial scanning streamlined diagnostics while improving esthetic predictability. Optical jaw-motion tracking allowed for evidence-based adjustment of vertical dimension and functional planning, reducing the risk of occlusal complications.
Guided surgery facilitated safe, flapless, accurate implant placement, minimizing morbidity. Immediate loading with prefabricated provisionals enhanced patient comfort and esthetics during healing. Verification jigs ensured passive fit, which is a cornerstone for long-term prosthetic success. Finally, titanium frameworks combined with zirconia superstructures offered biomechanical resilience and esthetic versatility.
These approaches are supported by recent literature, which has shown that digital workflows improve accuracy and efficiency8 and zirconia frameworks demonstrate excellent clinical outcomes in full-arch prostheses.7 Randomized trials have confirmed higher patient satisfaction with digital versus conventional All-on-4 protocols.9,10 The reverse scan body technique seems to be an effective option to verify the precision of the scans of implants.11 Also, photogrammetry technology may be useful in implant dentistry, however a systematic review is lacking and is indicated before its routine use in clinical practice.12
Conclusion
This case report demonstrated the integration of intraoral, facial, and functional data into a dual full-arch rehabilitation, showing the esthetic and functional benefits of digital smile design and jaw-motion tracking as well as the accuracy and safety advantages of guided implant surgery. It also underscored the role of passive-fit verification and CAD/CAM prosthetic fabrication in achieving predictable results.
A fully digital All-on-4 workflow allows practitioners to deliver minimally invasive, esthetically precise, and functionally validated full-arch rehabilitations. By integrating virtual patients, guided surgery, CAD/CAM prosthetics, and dynamic functional data, clinicians can achieve predictable long-term outcomes and provide an enhanced patient experience.
ABOUT THE AUTHORS
Paul Schuh, Dr med dent
Private Practice, Munich, Germany; Ambassador for the Digital Dentistry Society Germany; Associate Fellow, Foundation for Oral Rehabilitation
Fatih Birinci, MDT
Dental Technician/Laboratory Manager, Prime Lab & Dental Diagnostics, Munich, Germany