Over the past several years, Chris Nelson, DDS, has assumed ownership of his family’s third-generation dental practice in Redding, California, continuing his father’s and grandfather’s long-standing philosophy of, as he says, quality care delivered by people who care. Nelson purchased the practice in 2023 from his father, “Dr. Mike,” who had started the practice with his father (ie, Chris’ grandfather), “the original Dr. Nelson.”
Today, Chris Nelson’s clinical approach emphasizes efficiency supported by well-trained, empowered team members. “I focus on leadership, communication, and systems that allow the entire team to contribute meaningfully to patient outcomes,” says Nelson, who also maintains an educational YouTube channel featuring clinical cases and decision-making.
Nelson Family Dental provides a range of services, including cosmetic dentistry and composite fillings. With a family name to uphold, Nelson insists on delivering “the highest quality dentistry possible.” This is one reason why he relies on OMNICHROMA composites from Tokuyama Dental.
“I value predictability, intuitive handling, and efficiency,” Nelson states when asked what key qualities he looks for when selecting a composite for direct restorations. “OMNICHROMA is particularly useful when patients generally like their existing tooth color and want improvement rather than a dramatic shade change. It allows me to focus on anatomy, contours, and surface texture without the distraction of extensive shade selection or inventory management.”
For anterior cases, Nelson likes using OMNICHROMA one-shade universal composite when the surrounding dentition looks acceptable but needs refinement. “Its optical blending works well for worn incisal edges, minor spacing, and asymmetries,” he says. “OMNICHROMA tends to integrate seamlessly and avoids an artificial or over-restored appearance.”
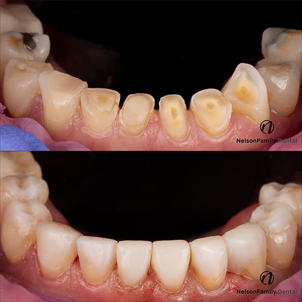
A big proponent of the use of dental photography, Nelson has found OMNICHROMA to be very predictable for multi-tooth anterior cases. In the case shown (right), worn and stained anterior teeth were restored with same-day direct composite veneers. A printed wax-up was duplicated with a clear VPS matrix, and OMNICHROMA BLOCKER Flow was used selectively to mask darker areas before OMNICHROMA was layered to harmonize the final shade and incisal translucency.
Besides its shade-matching capabilities, OMNICHROMA simplifies workflow, Nelson says, by reducing shade selection, inventory, and what he calls “decision fatigue.” “Maintaining fewer composite shades reduces waste and ordering complexity while supporting efficient same-day esthetic solutions.”
As for handling and workability, Nelson suggests that OMNICHROMA Flow adapts well and supports controlled layering, “especially for injection-style techniques.” For cases requiring a more significant shade shift, such as bleach-level outcomes, he relies on Tokuyama Dental’s Estelite Omega®. When a packable composite is needed, he says Estelite Sigma Quick® complements OMNICHROMA well and integrates predictably within the same restorative system.
Nelson attests that there is a lot of pride in operating a family business. He’s glad Tokuyama Dental composites are available to help him provide esthetic, functional, and beautiful restorations to his patients.
Chris Nelson, DDS
Private Practice,
Redding, California
Tokuyama DentaL AMERICA
877-378-3548
tokuyama-us.com